Musculoskeletal - Suprapatellar Bursitis

← Back to List

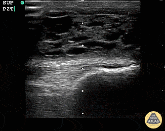
Musculoskeletal - Suprapatellar Bursitis

Caption

Suprapatellar bursitis from repetitive trauma of playing on the floor with grandchildren. Presented with over a week of knee pain and swelling. Superficial involvement and septae are possible for abscess, however it is contained within the bursal space above the patella. Arthrocentesis revealed no infection, and conservative therapy yielded improvement. Dr. Dustin Morrow

Source

https://www.thepocusatlas.com/softtissue-msk


Metadata