Musculoskeletal - Shoulder Dislocation
Caption
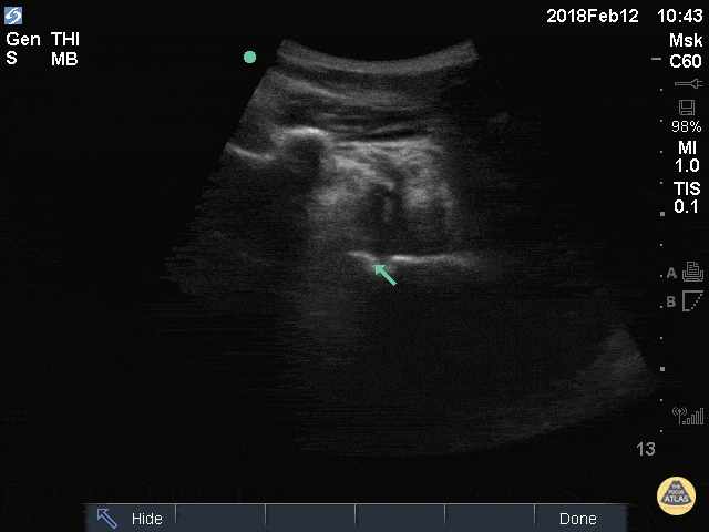
50M w/ R shoulder dislocation (arrow over humeral head), also likely has blood and possible air in joint space from injection of anesthetic. Greg Powell, MD
50M w/ R shoulder dislocation (arrow over humeral head), also likely has blood and possible air in joint space from injection of anesthetic. Greg Powell, MD