Bowel-GI - Fibrinous Ascites

← Back to List

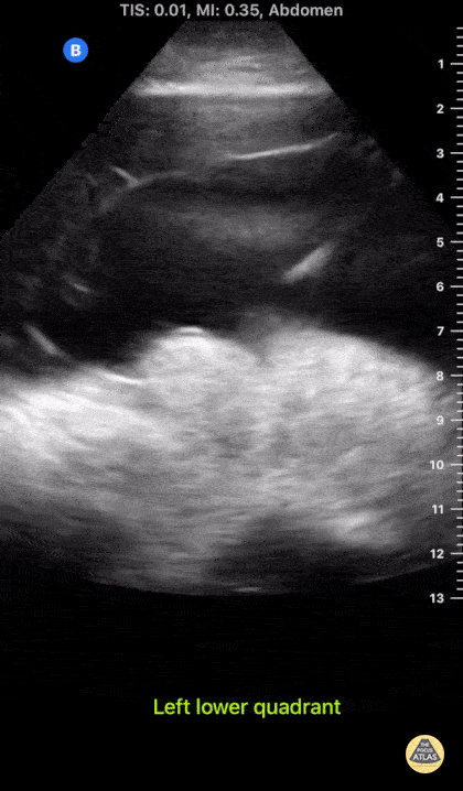
Bowel-GI - Fibrinous Ascites

Caption

A patient with cirrhosis presented with severe abdominal pain. POCUS of the abdomen revealed significant anechoic ascites. The quality of the ascites is also notable for presence of fibrinous material, increasing the pre-test probability of SBP. Paracentesis confirmed presence of >6000 WBCs; though this unique POCUS finding enabled earlier initiation of antimicrobial therapy for this patient. Parker Dixon, Hospitalist @drparkerdixon

Source

https://www.thepocusatlas.com/bowel


Metadata