Blog - The Altered Infant - Should we POCUS an open fontanelle? A case of Hydrocephalus

← Back to List

Blog - The Altered Infant - Should we POCUS an open fontanelle? A case of Hydrocephalus

Caption

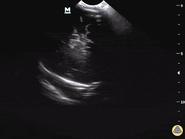
Clip 2: There is also asymmetry, specifically asymmetric ventricles with the left ventricle appearing larger than the right.

Source

https://www.thepocusatlas.com/new-blog/pedshydrocephalus


Metadata