Musculoskeletal - Patellar Tendon Rupture

← Back to List

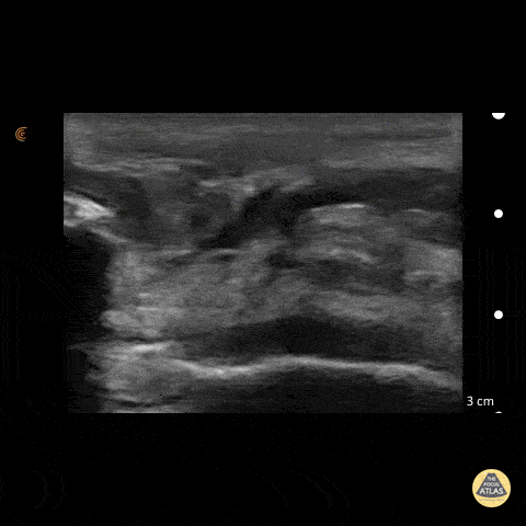
Musculoskeletal - Patellar Tendon Rupture

Caption

50 y/o M presents with acute left anterior knee pain after fall. On exam, patient noted to have high riding patella. Longitudinal sonogram of the infrapatellar region showed marked discontinuity of the normally hyperechoic linear patterned tendon. The discontinuity is replaced with an anechoic collection indicative of hemorrhage. Comparison to normal knee can be seen on the next post. Of note, anisotropy may be encountered when utilizing ultrasound, leading to artifact. Depending on the angle of the insonating beam, a normally hyperechoic structure may be falsely viewed as hypoechoic due to poor return of echo. Ensure US probe remains perpendicular to the tendon to minimize this artifact. Dr. Hannah Moreira, Dr. Tareq Azad, Dr. Kyle Kelson - Kings County/SUNY Downstate Emergency Medicine

Source

https://www.thepocusatlas.com/softtissue-msk


Metadata