Musculoskeletal - Right Patellar Tendon Rupture

← Back to List

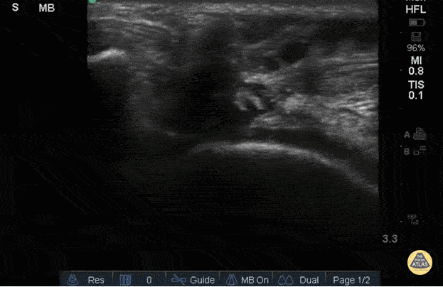
Musculoskeletal - Right Patellar Tendon Rupture

Caption

56yo M with right knee swelling after getting foot stuck under a pallet and falling backwards, found to have patella alta and right patellar tendon rupture. Longitudinal image using linear 13-6MHz probe along proximal (left) and distal (right) patellar tendon with hypoechoic fluid at site of tendon rupture. Dynamic ultrasound is useful in diagnosing tendon ruptures as the site and extent of rupture can be easily visualized, which facilitates triage to surgery, if indicated. Dr. Jasmin Harounian

Source

https://www.thepocusatlas.com/softtissue-msk


Metadata