Musculoskeletal - Hip Effusion
Caption
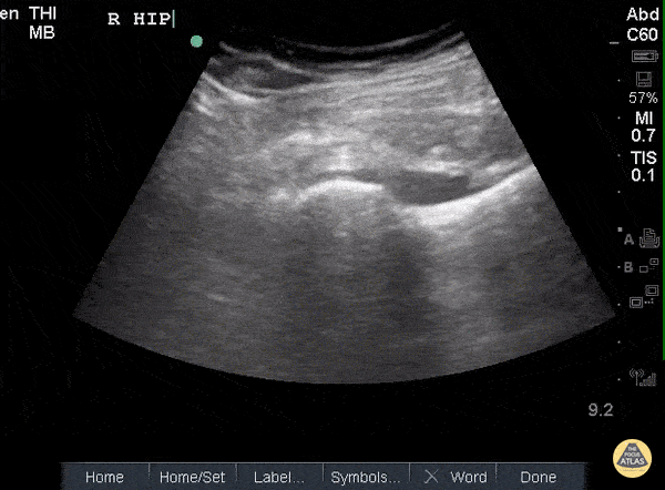
POCUS of the R hip shows an anechoic region adjacent to the femoral head and within the joint capsule consistent with an effusion. Sukh Singh, MD
POCUS of the R hip shows an anechoic region adjacent to the femoral head and within the joint capsule consistent with an effusion. Sukh Singh, MD