Musculoskeletal - Flexor Tendons of Hand (normal)

← Back to List

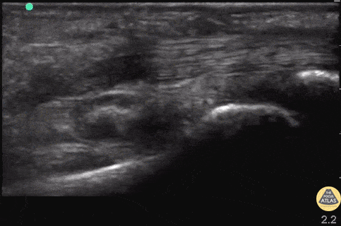
Musculoskeletal - Flexor Tendons of Hand (normal)

Caption

Patient with atraumatic pain and swelling of R proximal phalanx. Flexor tenosynovitis was considered but view revealed normal flexor tendons without surrounding hypoechoic fluid or inflammation of the tendon. Keep in mind this is not a sufficient rule out test. In this image, the tendon can be seen flexing and extending with the proximal and distal phalanges articulating on each other. Drs. Hannah Moreira and John F Kilpatrick - Kings County/SUNY Downstate Emergency Medicine

Source

https://www.thepocusatlas.com/softtissue-msk


Metadata