Bowel-GI - Pneumoperitoneum with Enhanced Peritoneal Stripe Sign

← Back to List

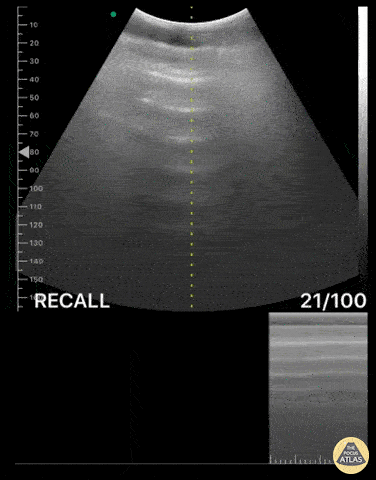
Bowel-GI - Pneumoperitoneum with Enhanced Peritoneal Stripe Sign

Caption

Pictured is a transversal epigastric abdominal view, first in M mode and subsequently B mode. Both modes reveal Enhanced Peritoneal Stripe Sign (EPSS), a finding that is highly sensitive and specific for pneumoperitoneum. An A-line pattern is also appreciated in this clip, due to reverberation artifact caused by the free air. This pattern mimics the A-line pattern seen in normal lung tissue. We were able to make this diagnosis with a portable POCUS device in the Emergency Department! Renato Tambelli, Emergency Physician @R_Tambelli

Source

https://www.thepocusatlas.com/bowel


Metadata