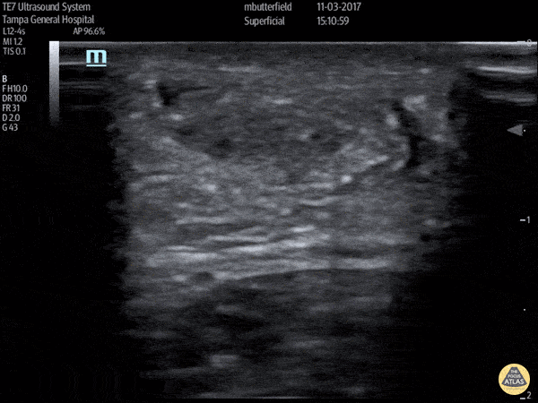
Musculoskeletal - Achilles Tendon Rupture (Short Axis)

← Back to List

Musculoskeletal - Achilles Tendon Rupture (Short Axis)

Caption

Full thickness achilles tendon rupture of the right leg after a skateboard accident. (Short Axis) Dr. Mike Butterfield

Source

https://www.thepocusatlas.com/softtissue-msk


Metadata