Musculoskeletal - Rectus Abdominis Hematoma

← Back to List

Musculoskeletal - Rectus Abdominis Hematoma

Caption

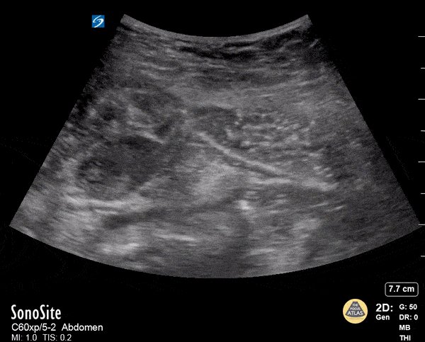
A 41 year old male presented to the ED with a painful right sided abdominal mass. On examination the area of swelling was tender to palpation and initially suspected to be a hernia. Patient had engaged in strenuous exercise the day before. Using the abdominal probe, a bedside ultrasound demonstrated a hypoechoic 4.9 x 4.7 cm hematoma within the right lower rectus muscle with active extravasation. This patient underwent successful interventional radiology embolization and had unremarkable hospital course. POCUS for abdominal masses can quickly narrow the differential for such patients, which can expedite decision making particularly in those who are hemodynamically unstable and on anti-coagulation. Max Cooper, MD Ultrasound Fellowship Director Crozer-Chester Medical Center Kevin Conor Welch, DO Ultrasound Fellow Crozer-Chester Medical Center Elena Grill, MD EM Resident Physician Crozer-Chester Medical Center

Source

https://www.thepocusatlas.com/softtissue-msk


Metadata