Musculoskeletal - DIPJ Abscess

← Back to List

Musculoskeletal - DIPJ Abscess

Caption

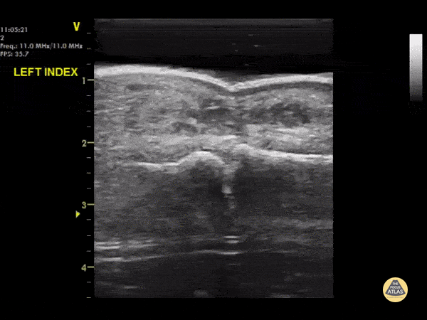
A waterbath-augmented soft-tissue ultrasound of the LEFT index finger was used to diagnose an abscess at the level of the DIPJ Note a hypoechoic collection in the soft tissues sitting on top of the flexor tendon sheath Learning point : Immerse the hand in a waterbath to increase image quality for distal extremities - the water allows improved sound wave transmission Dr Cian McDermott, Mater University Hospital, Dublin, Ireland

Source

https://www.thepocusatlas.com/softtissue-msk


Metadata