Musculoskeletal - Rib Fracture
Caption
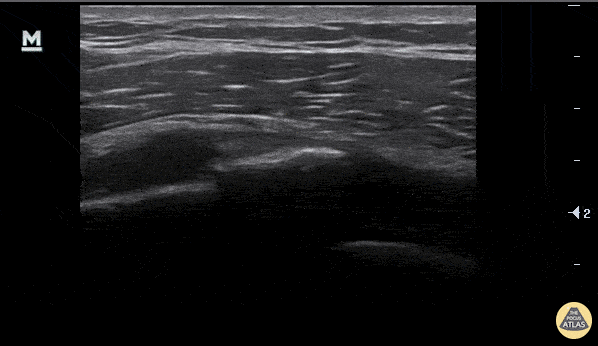
A rib fracture is seen here as disruption in the hyperechoic line or bony cortex. Also note the associated hypoechoic hematoma formation. Aaron Inouye, PA-C, North Canyon Medical Center @PAintheED
A rib fracture is seen here as disruption in the hyperechoic line or bony cortex. Also note the associated hypoechoic hematoma formation. Aaron Inouye, PA-C, North Canyon Medical Center @PAintheED