Musculoskeletal - Myonecrosis of Deltoid

← Back to List

Musculoskeletal - Myonecrosis of Deltoid

Caption

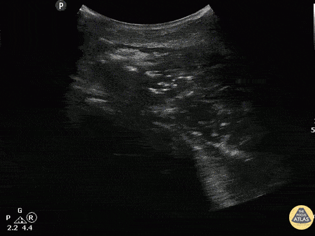
A patient with past medical history of diabetes presented with atraumatic right shoulder pain. Physical exam revealed decreased range of motion without obvious superficial abnormality. The patient was noted to be febrile and tachycardic. A curvilinear ultrasound reveals extensive air (scattered punctate hyperechoic areas) throughout the deltoid muscle indicative of infectious myonecrosis. Image courtesy of Robert Jones DO, FACEP @RJonesSonoEM Director, Emergency Ultrasound; MetroHealth Medical Center; Professor, Case Western Reserve Medical School, Cleveland, OH View his original post here

Source

https://www.thepocusatlas.com/softtissue-msk


Metadata