Musculoskeletal - US-Guided MTP Arthrocentesis

← Back to List

Musculoskeletal - US-Guided MTP Arthrocentesis

Caption

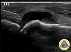
Patient with no history of crystallopathy presented with first metatarsophalangeal pain and swelling. Longitudinal view of the MTP joint revealed an anechoic effusion containing echogenic debris. Dynamic US guided aspiration was performed using an in-plane approach. Synovial fluid analysis showed monosodium urate crystals. Gram stain and fluid culture were negative. Learning point: Consider US guidance for arthrocentesis to increase success rate and maximize fluid yield especially in the case of a small effusion. Michael Cover, MD @michaelc0ver

Source

https://www.thepocusatlas.com/softtissue-msk


Metadata