Musculoskeletal - Myositis Ossificans

← Back to List

Musculoskeletal - Myositis Ossificans

Caption

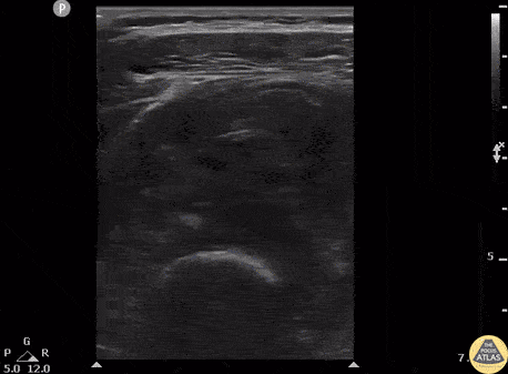
Patient presents to the ED with severe thigh pain following a subacute MMA injury. After proximal DVT was ruled out, POCUS revealed hypoechoic oval masses in the vastus intermedius and peripheral calcifications with shadowing adjacent to the femur. Image courtesy of Robert Jones DO, FACEP @RJonesSonoEM Director, Emergency Ultrasound; MetroHealth Medical Center; Professor, Case Western Reserve Medical School, Cleveland, OH View his original post here

Source

https://www.thepocusatlas.com/softtissue-msk


Metadata