Bowel-GI - Peritoneal Catheter Complication
Caption
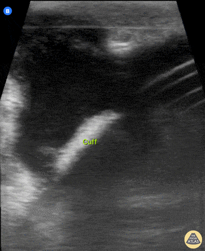
Pictured here is a the proximal cuff of an indwelling peritoneal catheter. Note the abscess surrounding the cuff. Javier Estrada, Nephrologist, Costa Rica
Pictured here is a the proximal cuff of an indwelling peritoneal catheter. Note the abscess surrounding the cuff. Javier Estrada, Nephrologist, Costa Rica