Musculoskeletal - Normal Achilles Tendon

← Back to List

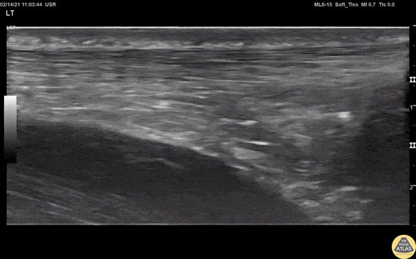
Musculoskeletal - Normal Achilles Tendon

Caption

View of a normal Achilles tendon as seen in long axis, using a linear transducer. The relatively hyperechoic, linear fibers of the tendon are seen running from the calcaneus (right of screen, or inferior) to the gastrocnemius muscle (off screen to the left, or superior).

Source

https://www.thepocusatlas.com/softtissue-msk


Metadata