Musculoskeletal - Sciatic Nerve Hematoma

← Back to List

Musculoskeletal - Sciatic Nerve Hematoma

Caption

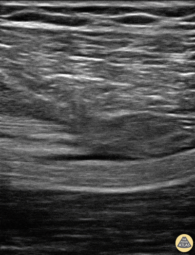
Patient sustained a gun shot wound through left mid thigh. Image is long axis view of sciatic nerve mid thigh. Nerve is running distal to proximal from left to right at approximately 3cm depth. There is a hypoechoic fluid collection seen superficial to the nerve. The epineurium is intact and we can see smaller nerve fibers contained in it. Patient had 0/5 plantar/dorsiflexion of ankle on admission, consistent with a sciatic nerve injury. The ultrasound exam on the sciatic nerve did not show any gross abnormality other than this fluid collection around the nerve. Within 7 days (4 days after this image) he regained strength in plantar/dorsiflexion in the ankle. Mike Guju, MD @MichaelMGujuMD Resident PM&R EVMS

Source

https://www.thepocusatlas.com/softtissue-msk


Metadata