Musculoskeletal - Clavicle fracture with hematoma

← Back to List

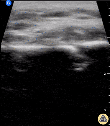
Musculoskeletal - Clavicle fracture with hematoma

Caption

60 year old female with a subacute left clavicular fracture (occurred 2 weeks ago) presented with worsening pain at fracture site of onset while working with occupational therapy. Seen here is the left clavicle (hyperechoic structure) with noted fracture and mild heterogeneous (concern for bloody accumulation) edema around fracture site as observed in long axis view. Kwasi Ampomah, DO, Eben Alexander IV, DO, Tariq Niazi, MD EVMS PM&R

Source

https://www.thepocusatlas.com/softtissue-msk


Metadata