Musculoskeletal - Intra-Articular Air

← Back to List

Musculoskeletal - Intra-Articular Air

Caption

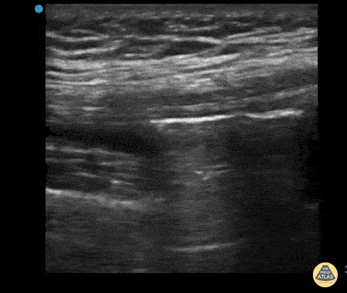
This is an ultrasound clip from a patient who presented to the ED after sustaining a laceration near the knee. There was concern for violation of the knee joint so ultrasound was used to evaluate. The probe is held in an sagittal orientation, just proximal to the patella, overlying the quadriceps tendon. A hyperechoic line with shadowing (similar in appearance to an A-line seen on lung US) can be seen deep to the quadriceps tendon confirming intra-articular air and therefore violation of the knee joint from the laceration. A small joint effusion can also be appreciated. Clip courtesy of Dr. Daniel Mantuani and Highland Ultrasound Twitter: @HGHED

Source

https://www.thepocusatlas.com/softtissue-msk


Metadata