Musculoskeletal - Monosodium urate crystals

← Back to List

Musculoskeletal - Monosodium urate crystals

Caption

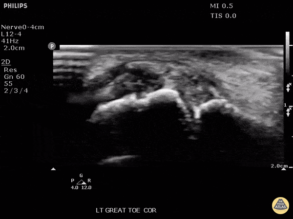
Patient presented with great toe pain. POCUS performed and detected effusion in first metatarsophalangeal joint. Eventually determined to be monosodium urate crystals as seen in gout. Image courtesy of Robert Jones DO, FACEP @RJonesSonoEM Director, Emergency Ultrasound; MetroHealth Medical Center; Professor, Case Western Reserve Medical School, Cleveland, OH View his original post here

Source

https://www.thepocusatlas.com/softtissue-msk


Metadata