Musculoskeletal - Biceps long head tendon rupture, transverse view

← Back to List

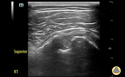
Musculoskeletal - Biceps long head tendon rupture, transverse view

Caption

The patient presented with sudden onset right shoulder pain. On physical examination, there was tenderness to palpation anteriorly over the humeral head. POCUS demonstrated a heterogeneous structure within the bicipital groove representing a tendon stump surrounded by a developing anechoic haematoma. This study is in keeping with a complete rupture of the biceps long head tendon. This case illustrates the utility of POCUS as a diagnostic tool for the rapid identification of MSK injuries in the ED. Contributors: Andrew Namespetra(@AndrewNamespet1), MB BCh BAO MSc; Nava Kendall, MD

Source

https://www.thepocusatlas.com/softtissue-msk


Metadata