Bowel-GI - Hepatic hydrothorax

← Back to List

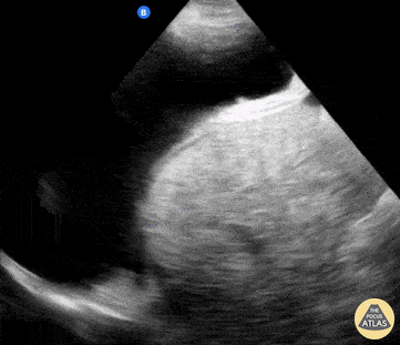
Bowel-GI - Hepatic hydrothorax

Caption

A 54-year-old male with hx chronic, untreated HCV complicated by cirrhosis presented with subacute dyspnea and abdominal distention. POCUS was notable for both a pleural effusion (anechoic fluid with atelectatic lung floating within it) as well as ascites (anechoic fluid underneath the mobile diaphragm). This history and POCUS findings were consistent with his diagnosis of hepatic hydrothorax. Shahad Al Chalaby, MD. PGY-2, Internal Medicine Highland Hospital. Alameda Health System Internal Medicine Residency Program. CA, USA @shahad_Chalaby

Source

https://www.thepocusatlas.com/bowel


Metadata