Musculoskeletal - Distal Quadriceps Muscle Rupture

← Back to List

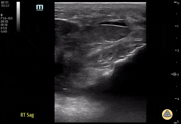
Musculoskeletal - Distal Quadriceps Muscle Rupture

Caption

70 y/o male fell onto his right knee presented with visible deformity of the distal quadriceps muscle. Physical exam demonstrated weakness to active extension of the right knee. POCUS with a linear transducer demonstrated complete loss of tendon architecture of the right knee, including a hypoechoic defect between the tendon fibers. When compared to normal knee radiographs, the patient has significant displacement of the patella distally. Radiologists interpreted this as possible quadriceps tendon rupture. During operative repair, a complete rupture of the quadriceps was discovered and repaired. Justin Morin, DO PGY-1 @justinjmorin; Alex Schlangen, DO PGY-1; Lauren Lowes, DO PGY-3; EM Residents at Central Michigan University

Source

https://www.thepocusatlas.com/softtissue-msk


Metadata