Musculoskeletal - Corticosteroid Joint injection in Suprapatellar Recess

← Back to List

Musculoskeletal - Corticosteroid Joint injection in Suprapatellar Recess

Caption

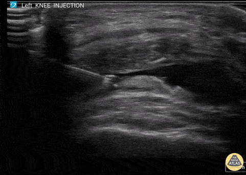
60 y/o F with knee arthritis getting corticosteroid joint injection in left suprapatellar recess. Ultrasound probe in transverse axis just superior to the patella. Needle approach lateral to medial. Infiltrate seen injected into anechoic suprapatellar recess. The suprapatellar recess is continuous with the tibiofemoral joint. Deep to suprapellar recess in this video is the prefemoral fat pad. Just superior to the suprapatellar recess in this image is the quadriceps tendon in short axis appearing as a fibrillar structure. Contributors: Eben Alexander, DO Devesh Patel, MD Eastern Virginia Medical School

Source

https://www.thepocusatlas.com/softtissue-msk


Metadata