Musculoskeletal - Metacarpal Head Fracture

← Back to List

Musculoskeletal - Metacarpal Head Fracture

Caption

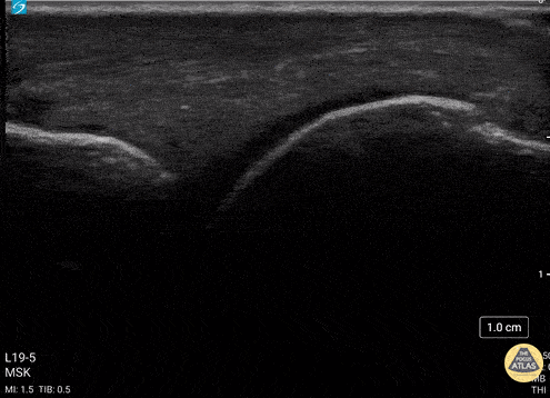
34 y/o M presented with fall while skiing injuring closed fist against ice and was found to have a displaced/impact fracture of his third metacarpal head. Video shows sagittal view scanning in the ulnar to radial direction at the third metacarpophalangeal joint (right is proximal). There is diffuse disruption of the cortex of the radial aspect of the metacarpal head and displaced/impaction fracture of the metacarpal head. Usually this surface should appear smooth. Articular cartilage can be seen as anechoic at the interface between the two bones. This defect was not visualized on initial or 2 week post x-ray, so ultrasound was able to guide the clinical team to appropriately splint and manage as a fracture. Eben Alexander, DO Devesh Patel, MD Eastern Virginia Medical School

Source

https://www.thepocusatlas.com/softtissue-msk


Metadata