Bowel-GI - Gallstone Ileus

← Back to List

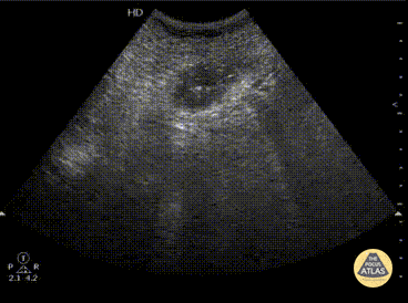
Bowel-GI - Gallstone Ileus

Caption

An elderly male presented with unyielding bilious vomiting and abdominal pain. A RUQ extended view shows gallstone ileus with the hypoechoic stone creating an acoustic shadowing artifact. Here, the gallstone is lodged in the small bowel and can arise from frequent cholecystitis creating a fistula between the gallbladder and small bowel. Image courtesy of Robert Jones DO, FACEP @RJonesSonoEM Director, Emergency Ultrasound; MetroHealth Medical Center; Professor, Case Western Reserve Medical School, Cleveland, OH View his original post here

Source

https://www.thepocusatlas.com/bowel


Metadata