Musculoskeletal - Partial bicep tendon tear Short

← Back to List

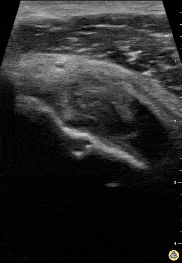
Musculoskeletal - Partial bicep tendon tear Short

Caption

Patient presented with pain localized to the right humeral neck after lifting a heavy object and feeling a "pop" sensation. Negative "Popeye" sign and preserved strength in elbow flexion. Effusion was noted in the bicipital groove on both transverse and longitudinal views. In addition, on longitudinal view the ends of the biceps tendon were noted to remain in tension. Charles Jang, EM PGY-3

Source

https://www.thepocusatlas.com/softtissue-msk


Metadata