Musculoskeletal - Flexor Tenosynovitis Waterbath Ultrasound - Long axis

← Back to List

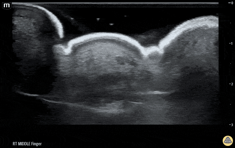
Musculoskeletal - Flexor Tenosynovitis Waterbath Ultrasound - Long axis

Caption

50 yo M presented to the ED after accidentally injuring his middle finger while welding, with reported fevers, finger swelling and all 4 Kanavel signs. Waterbath ultrasound shows fluid along the flexor tendon sheath extending distally. Hand consulted, patient taken to operative room for septic FTS. Erick Otiniano, MD MPH | DHREM PGY1 Fred Milgrim, MD | Director of Residency Ultrasound Education, Denver Health

Source

https://www.thepocusatlas.com/softtissue-msk


Metadata