OB/Gyn - Twin Gestation

← Back to List

OB/Gyn - Twin Gestation

Caption

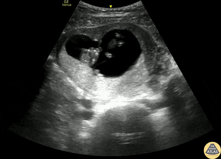
30s F G1P0 at ~11-12 weeks by LMP presented to the ED with vaginal spotting and abdominal cramping. POCUS was performed and demonstrated a twin gestation with two viable fetuses, each measuring about 11 weeks by CRL. Tyler LaCoste, PA Dr. Anna Engeln Denver Health Medical Center

Source

https://www.thepocusatlas.com/obgyn


Metadata