Bowel-GI - To & Fro in Bowel Obstruction

← Back to List

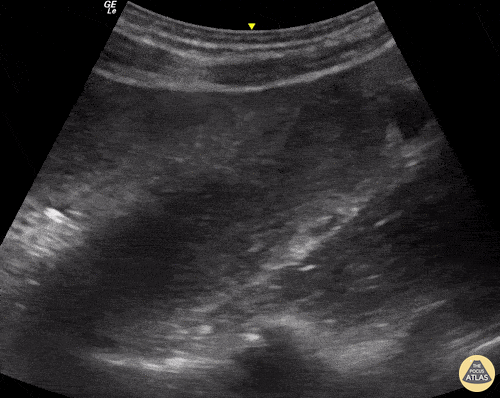
Bowel-GI - To & Fro in Bowel Obstruction

Caption

This 70-year-old male presented to our ED reporting abdominal pain and vomiting with associated absence of flatus / bowel movements. Seen here is his LUQ abdominal view using the curvilinear probe that reveals a dilated loop of bowel. The image is further characterized by increased peristalsis (the "To and Fro" sign) as well as the presence of free fluid adjacent to the dilated bowel loop in the shape of a triangle (known as the "Tanga Sign"). This case highlights how bedside ultrasound can be a powerful tool to enable prompt diagnosis and treatment of bowel obstruction. Renato Tambelli, Emergency Physician Hospital das Clínicas de Marília, Brazil. @R_Tambelli // @JediPocus

Source

https://www.thepocusatlas.com/bowel


Metadata