OB/Gyn - Transabdominal Uterus Sagittal View - Colorized

← Back to List

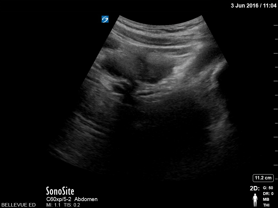
OB/Gyn - Transabdominal Uterus Sagittal View - Colorized

Caption

Transabdominal Uterus (sagittal view) Pink: Uterus, Purple: Cervix, Teal: Bladder Images: Dr. Lindsay Davis, Dr. Hannah Kopinski. Image Editing: Michael Amador and Dr. Matthew Riscinti

Source

https://www.thepocusatlas.com/obgyn


Metadata