OB/Gyn - +FAST Ectopic Pregnancy with IUD

← Back to List

OB/Gyn - +FAST Ectopic Pregnancy with IUD

Caption

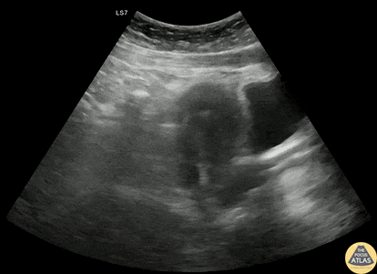
30s F with PMH prior ectopic pregnancy with IUD in place presented with positive home pregnancy test and lower abdominal pain. POCUS demonstrated a visible IUD still in place with free fluid surrounding the uterus. As the patient was hemodynamically stable, she had a consultative TVUS which confirmed these findings. Gynecology took the patient to the OR which confirmed a tubal ectopic pregnancy with a small amount of hemoperitoneum. Dr. Michael MacGillivray, PGY4 Denver Health Residency in Emergency Medicine

Source

https://www.thepocusatlas.com/obgyn


Metadata