OB/Gyn - Bicornuate Uterus - Pregnant

← Back to List

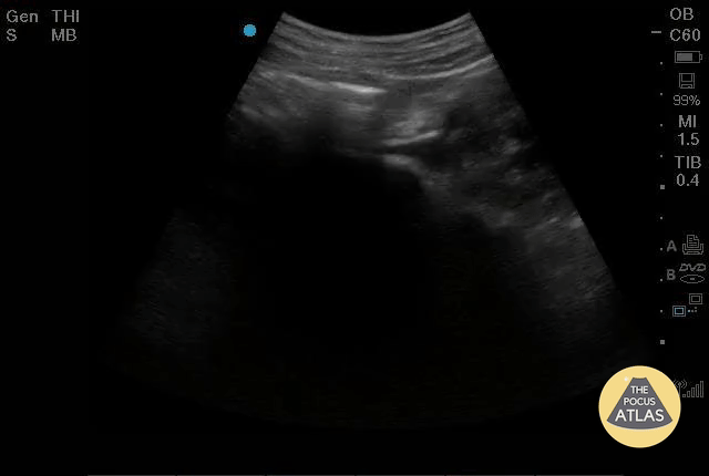
OB/Gyn - Bicornuate Uterus - Pregnant

Caption

“Bicornuate uterus” is not actually a dichotomous diagnosis - patients exist along a morphologic spectrum, and can actually get pregnant without much difficulty in some cases. Dr. Elias Jaffa, MD, MS, FACEP

Source

https://www.thepocusatlas.com/obgyn


Metadata