OB/Gyn - Ruptured Ectopic Pregnancy

← Back to List

OB/Gyn - Ruptured Ectopic Pregnancy

Caption

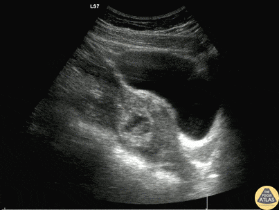
A 20s F presented with syncope in the setting of multiple days of abdominal pain which acutely worsened. She arrived hypotensive, tachycardic, and on FAST exam, had free fluid in the right and left upper quadrants as well as suprapubic window. Serum beta-hCG testing was positive. A detailed examination of the adnexa is shown here, demonstrating a ruptured ectopic pregnancy. This patient received blood via massive transfusion protocol and was taken emergently to the OR, where an exploratory laparotomy demonstrated an ectopic pregnancy and more than 2L of hemoperitoneum. Dr. Will Dewispelaere, PGY2, and Dr. Greg Wiener, PGY4 Denver Health Residency in Emergency Medicine

Source

https://www.thepocusatlas.com/obgyn


Metadata