OB/Gyn - Positive FAST - Ruptured Ectopic

← Back to List

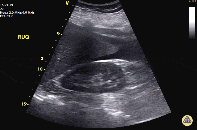
OB/Gyn - Positive FAST - Ruptured Ectopic

Caption

40 y/o F with abdominal pain, syncopal, +HCG. POCUS reveals free fluid in RUQ at inferior pole of the kidney and caudal tip of liver. Patient taken immediately to the OR and 800mL of blood evacuated. A left fallopian ectopic pregnancy was found. Always look for free fluid at the inferior pole of the kidney. POCUS saves lives. Dr. Cian McDermott - Dublin, Ireland

Source

https://www.thepocusatlas.com/obgyn


Metadata