OB/Gyn - Spontaneous Abortion

← Back to List

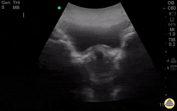
OB/Gyn - Spontaneous Abortion

Caption

28yo F G5P4 presenting at 8 weeks pregnant by LMP for pelvic pain and vaginal bleeding for 2 days. POCUS demonstrates an anechoic gestational sac without a visible yolk sac of fetal pole, progressing past the cervix. The patient had a spontaneous abortion in the ER, passing products of conception shortly after the POCUS. Esther Kwak, MD, Ian Desouza, MD- Kings County/SUNY Downstate Emergency Medicine

Source

https://www.thepocusatlas.com/obgyn


Metadata