OB/Gyn - Transabdominal Uterus Long Axis

← Back to List

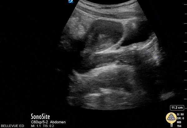
OB/Gyn - Transabdominal Uterus Long Axis

Caption

This is a transabdominal image of the uterus in long (sagittal) axis. On the far right of the screen we see the anechoic urine filled bladder. Immediately to the left of the bladder is the anteverted uterus which can be followed down and to the right as it curves and transitions into cervix and vagina. The thin, hyperechoic line in the center of the uterus is the endometrial stripe. Hannah Kopinksi and Dr. Lindsay Davis - NYU Emergency Medicine

Source

https://www.thepocusatlas.com/obgyn


Metadata