OB/Gyn - Transabdominal Left Adnexa

← Back to List

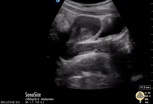
OB/Gyn - Transabdominal Left Adnexa

Caption

In this transabdominal view of the uterus in transverse, we see the left fallopian tube branching off the uterus leading to the left ovary in which multiple small hypoechoic follicles are visible, giving the ovary its typical “chocolate chip cookie” appearance. At the end of the clip, one of the left iliac vessels is seen in long axis just deep and lateral to the ovary. The bright hyperechoic lines with dark shadowing in the surrounding fields are bowel gas. Hannah Kopinksi and Dr. Lindsay Davis - NYU Emergency Medicine

Source

https://www.thepocusatlas.com/obgyn


Metadata