OB/Gyn - Ovarian Teratoma

← Back to List

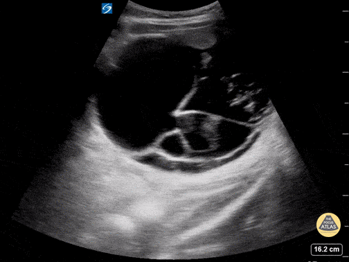
OB/Gyn - Ovarian Teratoma

Caption

This is a transverse view of the RLQ in a young female who presented with dysuria and a history of constipation. On physical exam, a visible mass was noted to the right of her umbilicus. Urinalysis and urine pregnancy test were negative. Bedside transabdominal ultrasound revealed a septated mass containing heterogeneous material with scattered hyperechoic foci most consistent with an ovarian teratoma. Allison Perkins MD, PGY-1, Jared Toupin MD, PGY-2 Carnegie Mellon University Emergency Medicine Residency

Source

https://www.thepocusatlas.com/obgyn


Metadata