OB/Gyn - Twin IUP

← Back to List

OB/Gyn - Twin IUP

Caption

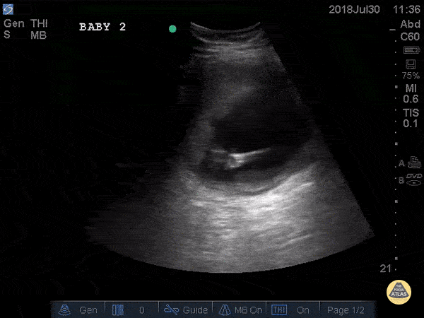
Young female patient at 19 weeks gestation presented s/p syncopal event. POCUS performed and patient had a negative FAST. This image is a transabdominal ultrasound of an intrauterine twin gestation. A placenta can be visualized as the echogenic material superior to the fetuses and the hyperechoic umbilical cord can be visualized in the center of the gestational sac. A normal fetal heart rate (FHR) ranges from 120-170 and is expected as early as 6 week gestational age. This scan shows FHRs of 150 and 158. Fetal movement can also be appreciated on this scan, which is expected at 9-10 weeks gestational age. Dr. Eli Madden, Dr. Julianna Jaramillo - Kings County Emergency Medicine

Source

https://www.thepocusatlas.com/obgyn


Metadata