OB/Gyn - Uterine Rupture (Positive FAST)

← Back to List

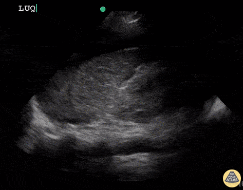
OB/Gyn - Uterine Rupture (Positive FAST)

Caption

21 year old female that was having prolonged labour and pain, presented in shock and delivered a non-viable fetus with minimal amount of blood loss from vagina. Continued to be hypotensive and became altered requiring intubation and crash central line. RUSH (including FAST) exam performed to determined etiology of undifferentiated shock. FAST revealed free fluid in abdomen and pt was taken to the OR with GYN and Trauma Surgery. Found to have uterine rupture in OR. Dr. Sathya Subramaniam, Pediatric EM Fellow - Kings County/SUNY Downstate

Source

https://www.thepocusatlas.com/obgyn


Metadata