Bowel-GI - Portal Venous Gas

← Back to List

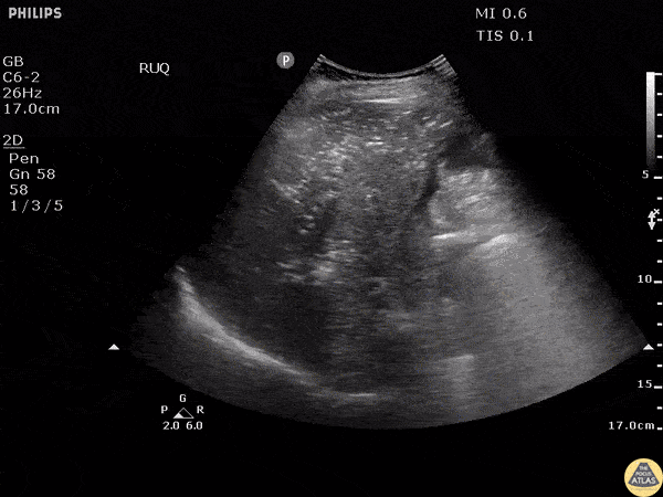
Bowel-GI - Portal Venous Gas

Caption

An adult male presented to the ED with abdominal pain and hypotension. The perihepatic window of the RUSH exam reveals portal venous gas due to necrotizing pancreatitis. Also, note the trace free fluid in Morison’s pouch. Image courtesy of Robert Jones DO, FACEP @RJonesSonoEM Director, Emergency Ultrasound; MetroHealth Medical Center; Professor, Case Western Reserve Medical School, Cleveland, OH View his original post here

Source

https://www.thepocusatlas.com/bowel


Metadata