OB/Gyn - Positive FAST in RUQ - Ruptured Ovarian Cyst

← Back to List

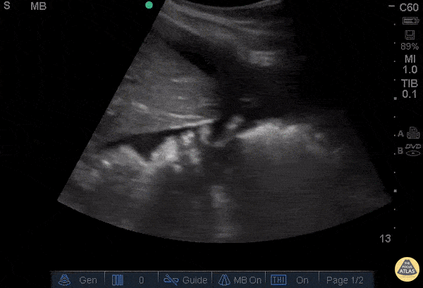
OB/Gyn - Positive FAST in RUQ - Ruptured Ovarian Cyst

Caption

28 year-old female was BIBEMS after a witnessed syncopal episode at home. The patient endorsed abdominal pain that started during intercourse that morning and had been getting worse. On arrival, the patient appeared pale and diaphoretic. The patient’s FAST exam was performed immediately and showed free fluid in the RUQ and LUQ. The suprapubic view showed a large pelvic hematoma. The patient was evaluated by the GYN service and was taken emergently to the OR where she was found to have a ruptured cyst. Don't forget, the FAST can be used for more than trauma. Dr. Guru Shan and Dr. Catherine Bon - Kings County Emergency Medicine

Source

https://www.thepocusatlas.com/obgyn


Metadata