OB/Gyn - Hemorrhagic Ovarian Cyst

← Back to List

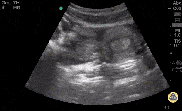
OB/Gyn - Hemorrhagic Ovarian Cyst

Caption

18yo F with 1 month history of abdominal pain presents with acute worsening of abdominal pain for 2 days. Exam revealed diffuse disproportionate pain to palpation of abdomen and right adnexal tenderness. POCUS demonstrates a hemorrhagic ovarian cyst defined by a cystic structure adjacent to the uterus with a well-defined wall and lacy/fishnet pattern within the structure. A hyper-acoustic shadowing can be seen distally along with free fluid surrounding the HOC. HOC can also be mistaken for a neoplastic ovarian mass. A distinguishing feature would be changes in fluid collection and changes in size of diameter of the cyst. Dr. Praneetha Chaganti, Dr. Andrew Aherne Kings County/SUNY Downstate Medical Center

Source

https://www.thepocusatlas.com/obgyn


Metadata