OB/Gyn - Ectopic - Tubal Ectopic Pregnancy

← Back to List

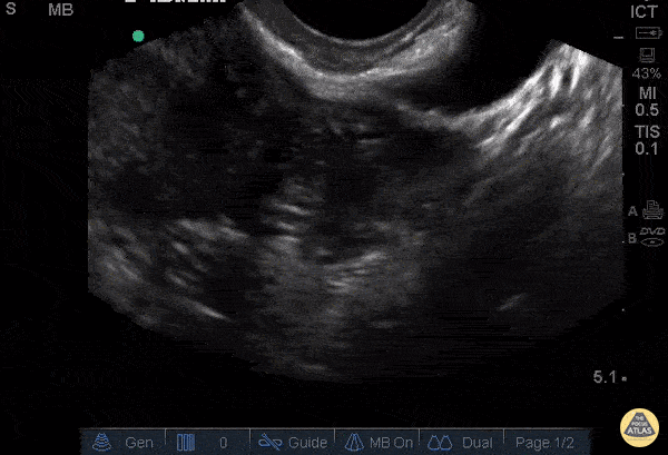
OB/Gyn - Ectopic - Tubal Ectopic Pregnancy

Caption

31 y/o G1P0 presenting at unknown gestational age for pelvic pain and vaginal bleeding. Described increasing vaginal bleeding for 7 days and intermittent sharp lower abdominal and pelvic pain, mostly left sided, 6/10 in severity. Pelvic exam was significant for cervical motion tenderness and left adnexal tenderness. Pelvic ultrasound shows left adnexal complex heterogeneous structure and associated free fluid in the pelvis. Patient underwent diagnostic laparoscopy with left salpingectomy for left tubal ectopic pregnancy. Stacey Frisch, MD Aleksandr Gleyzer, MD - Kings County/SUNY Downstate Emergency Medicine

Source

https://www.thepocusatlas.com/obgyn


Metadata