OB/Gyn - Ectopic - Ruptured Cornual Ectopic Pregnancy - Longitudinal

← Back to List

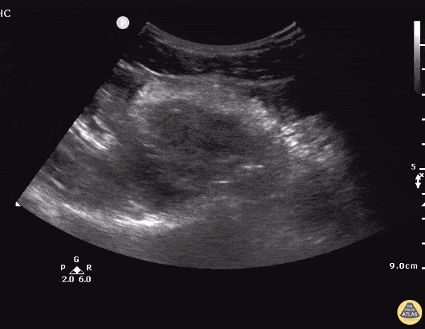
OB/Gyn - Ectopic - Ruptured Cornual Ectopic Pregnancy - Longitudinal

Caption

24 y/o F presents after a brief syncopal episode. Endorses heavy vaginal bleeding for 2 weeks. On exam, tachycardic and tender to palpation in lower abdomen. Urine HCG was positive. Transabdominal longitudinal sonogram view of the pelvis showed a large hypoechoic collection suggestive of free pelvic fluid in the proximity of a solid hyperechoic mass in the left adnexal. Just inferior to the mass is the uterus a small amount of hypoechoic fluid in the endometrium but no clear intrauterine pregnancy. GYN was consulted immediately and the ultimate operative note for this patient described a ruptured cornual ectopic pregnancy. A cornual pregnancy or interstitial pregnancy is a type of ectopic pregnancy located outside of the uterine cavity in the distal fallopian tube as it penetrates into the muscular wall of the uterus. This type of ectopic pregnancy has the potential to grow to larger sizes than standard tubal ectopic pregnancies and carries a higher mortality risk. Dr. Tareq Azad and Dr. Scott Kendall - Kings County Emergency Medicine

Source

https://www.thepocusatlas.com/obgyn


Metadata