OB/Gyn - Bicornuate Uterus with IUP

← Back to List

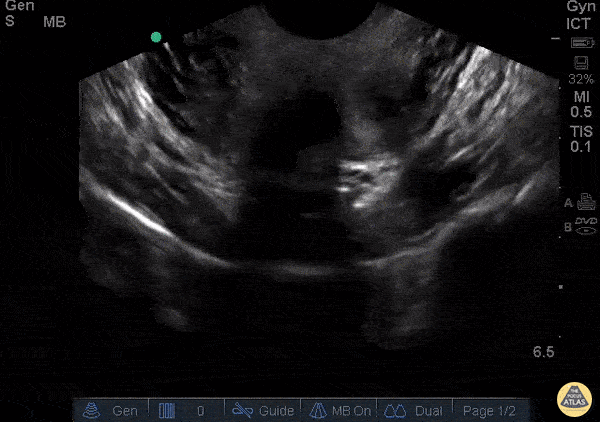
OB/Gyn - Bicornuate Uterus with IUP

Caption

WCUME 2017 Submission for "Best POCUS" 23 y/o female, pelvic pain, no vb or discharge, g1p0 found to be pregnant at this ER visit. Approximately 4 weeks by dates. Found to be pregnant and found to have a bicornuate uterus with IUP on the right side. Carl Alsup, MD - Sierra Nevada Memorial Hospital

Source

https://www.thepocusatlas.com/obgyn


Metadata