Blog - The Altered Infant - Should we POCUS an open fontanelle? A case of Hydrocephalus

← Back to List

Blog - The Altered Infant - Should we POCUS an open fontanelle? A case of Hydrocephalus

Caption

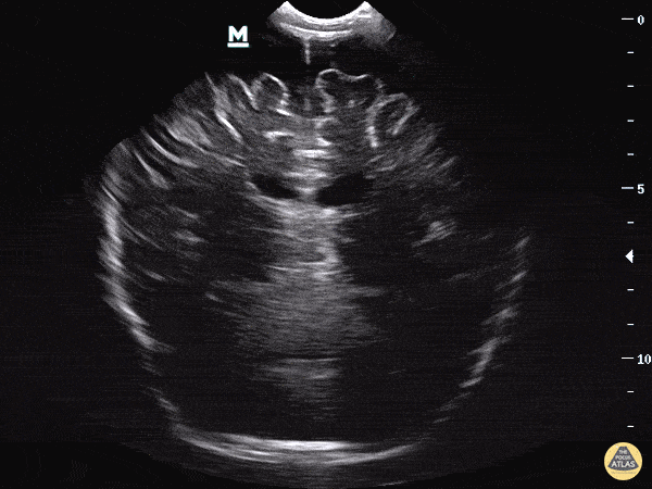
Clip 1: You notice significant enlargement of the extra axial space seen most clearly in the 12 o’clock position above the interhemispheric fissure.

Source

https://www.thepocusatlas.com/new-blog/pedshydrocephalus


Metadata